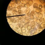
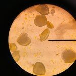
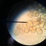
I just had to show the following pictures today. They were taken in one of my biology classes, earlier today, when we were examining pollen, i.e. plant’s male gametes, i.e. plant sperm (trust me, it’s funnier that way). My students, a group of twenty-six 13-year-olds, were pleased their only homework for today was bringing in flowers and so here’s the result.
During the first part of this class they made samples of their own flowers and in the second part we looked at them more closely, drawing at least two different kinds. While helping them adjust the microscopes, I took pictures of their pollen and they asked if they could too. They’re usually not allowed to use their phones in class of course, but this was an exception: they’d all go home today to actually show their parents what cool stuff they learned, ha!
I promised them I’d show off their work on my site and I’d send them the pictures. They’re on their way guys! Oh and also – now the whole world will know – class 1D (not that group) cleaned up very well too. There, you have it in writing.
It was one of those days again when I went home and thought: ‘And I even get paid for this too..!’ Anyway, here they are, pictures of plant sperm of different flowering plants. Prettyful no?!
Click a pic for the large version. All are taken by me.
























4 Comments
Gotta love all the high-res cameras available to everyone these days.
Reminds me of my wifes’ phytoplankton project. She spent hours at a microscope (we had set-up at our house) counting little sea-critters.
I love microscopes almost as much as telescopes!
Thanks for that, Ted. I like ‘m both too.
I love the results!
Wish we could do it over,i love to play with microscopes!
Well done Kyra!!
One Trackback
[...] it with my iPhone! I cheated a bit, taking it through the telescope (as I had been doing with my microscope), but it still impressed some others and even inspired them to try the same. I stayed in the dome [...]